来源:美国皮肤病学院官网
中文版编辑:高来益

心脏病警告信号可能会出现在皮肤和指甲上。因此,也可以在皮肤和指甲上找到心脏病的警告信号。以下图示显示了可能的警告信号。
1.脚部和小腿肿胀

医学名称:水肿(肿胀的医学术语)。
它可能提示:心脏不能正常工作。
许多心脏病会导致脚部和小腿积液。随着液体的积聚,可能会看到肿胀,它可以延伸到大腿和腹股沟。
2.皮肤呈蓝色或紫色

医学名称:紫绀(gàn)。
它可能提示:血管堵塞了。
当极度寒冷时,皮肤会变成蓝色或紫色。如果温暖时皮肤的某个区域是蓝色或紫色,这可能是血液没有得到足够氧气的迹象。
上图中的患者患有蓝趾综合征,当一条或多条血管堵塞时就会发生。
如果不进行治疗,缺氧会导致皮肤和下层组织最终死亡。
3.皮肤上有蓝色或紫色网状图案

医学名称:网状青斑(Livedo reticularis)
它可能提示:动脉阻塞了。
有些人在感到寒冷时会在皮肤上看到这种图案。当他们的皮肤变暖时,这种情况就会消失。在服用某些药物时也可能看到这种症状。如果其中之一导致了网状模式,通常无需担心。
这种网状模式也可能是一种叫做胆固醇栓塞综合征的疾病征兆,这种疾病发生在小动脉堵塞时。堵塞会导致组织和器官受损,因此去看医生以了解是否患有未确诊的疾病非常重要。
4.皮肤上的黄橙色蜡质赘生物

医学名称:睑黄瘤(眼睑上的胆固醇沉积),黄色瘤(皮肤其他部位发现的胆固醇沉积物)。
它可能提示:胆固醇水平不健康。
如果看到皮肤上有黄橙色的赘生物,则皮肤下可能有胆固醇沉积。这些无痛沉积物可能出现在许多部位,包括眼角、手掌上的皱纹或小腿后部。
如果在皮肤的任何部位发现这些赘生物,请去看医生,可能需要胆固醇检测或其他医学检测。不健康的胆固醇水平需要治疗,这可以预防危及生命的心脏病。控制胆固醇水平也有助于清除皮肤上的赘生物。
需要注意的是,不健康的胆固醇水平(胆固醇含量高)通常是因为炎症引起,不是因为摄入了较多胆固醇导致的。
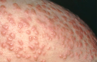
5.皮肤上突然出现蜡状肿块

医学名称:发疹性黄瘤(指突然出现许多胆固醇脂肪沉积)。
它可能提示:胆固醇水平飙升或患有糖尿病。
这些突然出现的肿块可能看起来像皮疹、疣或一种称为传染性软疣的传染性皮肤病。这些肿块实际上是血液中胆固醇类型含量极高引起的胆固醇脂肪沉积。
6.指甲向下弯曲,手指末端肿胀

医学名称:杵状指(描述指甲向下弯曲和手指肿胀)。
它可能提示:可能有心脏感染、心脏病或肺部问题。
对许多人来说,这些迹象是无害的。但如果手指和指甲看起来像这样,最好还是看看是否患有肺病或心脏病等疾病。
7.指甲下面有暗红色或紫色的线

医学名称:裂片形出血(通常看起来像钉在指甲下的一根刺)。
它可能提示:指甲受到了损伤,也可是心脏病或其他疾病的征兆。
当这是心脏病的征兆时,人们往往会出现症状,如高烧、心跳微弱或不规则。
8.皮肤上有光滑的蜡状肿块

医学名称:系统性淀粉样变病(淀粉样变是指积聚的蛋白质类型)。
它可能提示:心脏或其他器官中有蛋白质沉积。
这些蜡状肿块可能出现在皮肤的任何部位。它们通常表明器官(如心脏)中蛋白质的异常积聚。如果蛋白质在心脏中积聚,心脏就很难正常工作。
9.手指、脚趾或两者有疼痛的肿块

医学名称:Osler结节(奥斯勒结节)。
它可能提示:心脏或血管感染了。
如果患有被称为感染性心内膜炎的心脏感染,这些疼痛的肿块可能会出现在手指、脚趾或两个地方。肿块可以持续几个小时到几天。
虽然肿块会自行消失,但患者需要治疗感染。因为这种感染是由细菌引起的,抗生素通常可以治疗它。有时,手术也是必要的。
10.在脚底或手掌上出现棕色或淡红色

医学名称:Janeway病变。
它可能提示:心脏或血管感染了。
患者脚底出现的斑点也是感染性心内膜炎或心脏感染的征兆。与Osler结节不同,这些斑点是无痛的。这些斑点通常在几天或几周内不经治疗就会清除,但感染需要治疗。
11.非瘙痒性皮疹(边缘略微凸起的扁平斑点)和发烧

医学名称:边缘性红斑。
它可能提示:患有风湿热。
如果孩子得了脓毒性咽喉炎,迅速治疗很重要。如果不迅速治疗,可能会出现其他医疗问题,其中一个问题是风湿热。虽然这种情况在今天的美国很少发生,但风湿热在发展中国家很常见。
当孩子患有风湿热时,可能会导致终身心脏病。风湿热是儿童心脏病的主要原因。
12.皮疹和破裂、肿胀的嘴唇,经常出血

医学名称:粘膜皮肤淋巴结综合征(川崎病的别称)。
它可能提示:孩子患有川崎病。
当孩子出现皮疹、发烧和嘴唇极度干燥,可能会破裂和出血,川崎病很可能是病因。这种影响血管的疾病通常发生在6个月至5岁的儿童身上。
虽然川崎病症状可能在12天内自行消失,但它可能会导致严重的并发症,例如心脏病。

关于心脏病的警告信号当然不止这些,例如还有:
1)眼睛有色部分周围有一个灰色的环
2)舌头的变化,比如肿胀,变红如草莓
3)皮肤变色
4)其他,例如头晕、恶心、胸痛、气促
如果注意到任何这些迹象,请预约看医生,并尽量保持冷静。这个标志可能是无害的,但检查一下很重要。早期发现心脏病更容易治疗。
需要注意的是,对于常规心脏病,现代医学治疗心脏病通常是控制症状,随着时间的推移,症状可能也无法控制,因而不能阻止心脏病导致的死亡。
对于绝大多数的常规心脏病,自然疗法是逆转或控制心脏病的最佳方法,例如高来益心脏病/冠心病营养疗法(千聊)可以轻松应对常规性心脏病。



